Radiografía ósea
Una radiografía ósea es una forma de tomar imágenes de los huesos. También puede denominarse radiografía de los huesos. En esta prueba, se pasa una dosis baja de radiación por el cuerpo, lo que produce imágenes digitales de los huesos o imágenes en una película.
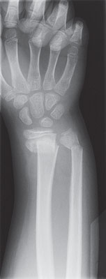
 |
| Radiografía de una fractura de la muñeca. |
¿Por qué podría necesitar una radiografía ósea?
Las radiografías óseas pueden realizarse para:
-
Detectar fisuras o fragmentos (fracturas) en los huesos.
-
Asegurarse de que una fractura haya sido correctamente alineada para su curación o de que haya cicatrizado adecuadamente.
-
Planificar una cirugía en la columna y las articulaciones, o verificar los resultados de dicha cirugía.
-
Guiar una cirugía, como una reparación o fusión espinal, reemplazo articular y reducción de fracturas.
-
Encontrar objetos extraños en los tejidos blandos alrededor de los huesos o en ellos.
-
Llevar un registro del progreso de la artritis y otras enfermedades óseas o articulares.
-
Encontrar y diagnosticar cáncer óseo.
¿Cómo me preparo para una radiografía ósea?
-
Es posible que se le pida que se ponga una bata de hospital (según el área de su cuerpo que se examine).
-
Informe al técnico si existe alguna probabilidad de que esté embarazada.
-
Retire los clips para el cabello, las joyas, las prótesis dentales y otros elementos metálicos que podrían aparecer en la radiografía.
¿Qué sucede durante una radiografía ósea?
Deberá acostarse, sentarse o pararse de modo que la parte de su cuerpo que se examina quede debajo del equipo de rayos X. El técnico lo posicionará.
-
Ciertas partes del cuerpo, como los órganos reproductores, pueden ser protegidas con un escudo para reducir la exposición a la radiación.
-
Deberá permanecer quieto mientras se toman las radiografías. Se pueden usar almohadas y almohadillas de espuma para ayudarle a mantenerse en su posición.
-
Es posible que se le pida que contenga la respiración durante unos segundos por vez.
-
Es posible que deba mantener varias posiciones para que se puedan tomar más de una imagen.
¿Cuáles son los riesgos de una radiografía ósea?
Su proveedor de atención médica puede analizar los riesgos de las radiografías con usted. En la mayoría de los casos, los beneficios de la radiografía ósea superan los riesgos.
¿Qué sucede después de una radiografía ósea?
Todo el procedimiento generalmente lleva menos de 15 minutos.
-
Se le pedirá que espere hasta que el técnico haya examinado las imágenes para ver si es necesario hacer más.
-
Un proveedor de atención médica denominado radiólogo analizará los resultados de las radiografías y le enviará un informe a su proveedor.
-
Su proveedor de atención médica analizará los resultados con usted cuando las imágenes estén listas.
Revisor médico: Mahammad Juber MD
Revisor médico: Marianne Fraser MSN RN
Revisor médico: Raymond Turley Jr PA-C
Última revisión:
1/1/2025
© 2000-2025 The StayWell Company, LLC. Todos los derechos reservados. Esta información no pretende sustituir la atención médica profesional. Sólo su médico puede diagnosticar y tratar un problema de salud.