Bone X-ray
A bone X-ray is a way to take pictures of bones. It may also be called bone radiography. In this test, a low dose of radiation is passed through the body, producing digital images of the bones or images on a piece of film.
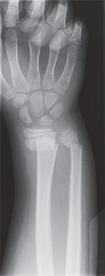
 |
X-ray of a broken wrist |
Why might I need a bone X-ray?
X-rays of bones may be taken to:
-
Find breaks or chips (fractures) in the bones.
-
Make sure that a fracture has been correctly set for healing, or make sure that a fracture has healed correctly.
-
Plan surgery on the spine and joints, or check the results of this surgery.
-
Guide surgery, such as a spinal repair or fusion, joint replacement, and fracture reduction.
-
Find foreign objects in soft tissues around or in the bones.
-
Keep track of the progress of arthritis and other bone or joint diseases.
-
Find and diagnose bone cancer.
How do I get ready for a bone X-ray?
-
You may be asked to change into a hospital gown (depending on the area of your body being examined).
-
Tell the technologist if there is any chance that you are pregnant.
-
Remove hair clips, jewelry, dentures, and other metal items that could show up on the X-ray.
What happens during a bone X-ray?
You will lie, sit, or stand so that the part of your body being examined is underneath the X-ray equipment. The technologist will position you.
-
Certain parts of your body, such as your reproductive organs, may be shielded to protect them from radiation.
-
You will need to remain still while the X-rays are being taken. Pillows and foam pads may be used to help you stay in position.
-
You may be asked to hold your breath for a few seconds at a time.
-
You may need to hold several positions so that more than 1 view may be taken.
What are the risks of a bone X-ray?
Your health care provider can discuss the risks of X-rays with you. In most cases, the benefits of bone X-ray far outweigh the risks.
What happens after a bone X-ray?
The whole procedure usually takes less than 15 minutes.
-
You'll be asked to wait until the technologist has looked at the images to see if more need to be done.
-
A health care provider called a radiologist will look at the X-ray results and send a report to your provider.
-
Your health care provider will discuss the results with you when the images are ready.
Online Medical Reviewer:
Mahammad Juber MD
Online Medical Reviewer:
Marianne Fraser MSN RN
Online Medical Reviewer:
Raymond Turley Jr PA-C
Date Last Reviewed:
1/1/2025
© 2000-2025 The StayWell Company, LLC. All rights reserved. This information is not intended as a substitute for professional medical care. Always follow your healthcare professional's instructions.